Efficacy of 12-lead vs 15-lead ECG on diagnostic delays and clinical outcomes in isolated posterior STEMI: A Case in Point

The following series of ECG’s from a posterior STEMI that presented to the ER at 5:30 AM, illustrates the importance of early 15-lead ECG. The initial 12-lead showed profound ST-depression (STD) in V1-V2, and minimal STD in V3 (below).

A repeat 12 lead at 6:00 AM showed worse STD:

A posterior STEMI wasn’t recognized until a 15-lead ECG was finally performed at 9:30 AM, causing a diagnostic delay of 4 hours. ST-elevation (STE) in V8-V9 is evident.

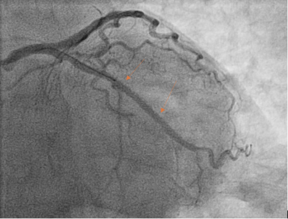
The pre-PCI angiogram reveals complete occlusion of left circumflex (LCx) artery.

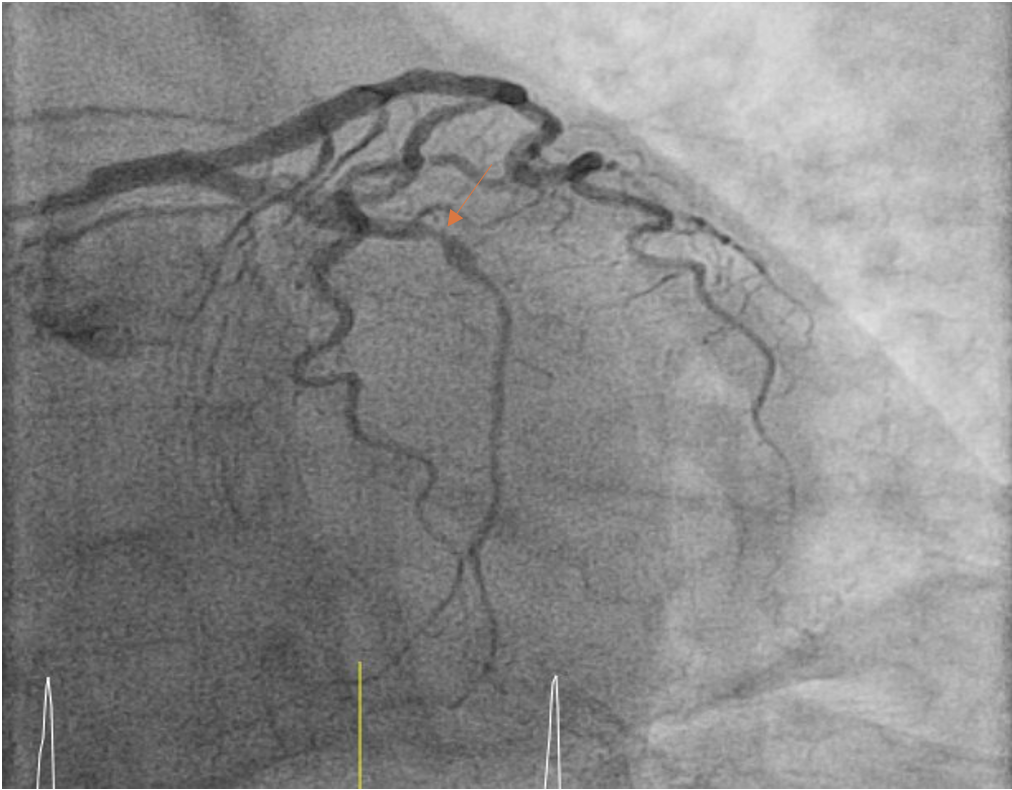
The post-PCI angiogram shows successful re-vascularization of LCx.

·      Delays in diagnosis, increases the duration of myocardial ischemia and the risk of poor patient outcomes.

·      Isolated posterior STEMI (IPSTEMI) cannot be directly diagnosed using standard 12-lead ECG, and often result in missed, or delayed diagnosis.

·      Low utilization of 15-lead ECG is postulated to be a causative factor in IPSTEMI diagnostic delays.

·      The prevalence and efficacy of 12-lead vs 15-lead ECG on diagnostic delays and clinical outcomes in IPSTEMI in Manitoba has not yet been established.

 

Why does posterior STEMI show up as ST-depression in V1-V2 

·      The LCx artery and its obtuse marginal (OM) branches extend to the lateral and posterior areas of the heart.

·       In posterior STEMI, LCx arterial occlusion causes tissue ischemia/injury to the posterior heart.

·      In STEMI, the electrical “current of injury” travels in the direction from healthy tissue to ischemic tissue.

·      Facing electrodes will record these vectors as STE on the ECG.

·      The precordial leads V1-V3 record electrical vectors travelling away from these electrodes, as STD.

 

The importance of 15-lead ECG’s

·              Differentiating between anterior endocardial ischemia and posterior epicardial/transmural infarction with a standard 12-lead EKG can be challenging.

·              In both instances, STD can be evident in the precordial leads (V1-V2).

·              It has been shown that 12-lead ECG fail to identify posterior STEMI, particularly where minimal or absent ST-changes are noted (body habitus, subtle ST-segment changes).

·      The posterior leads V8-V9 record electrical vectors travelling toward these electrodes, as STE.

 

When do we do them? (Manitoba experience)

1.        WRHA, St. Boniface Hospital, WFPS, MB EMS

a.        Normal 12-lead (CP >15 min)

b.        STD V1-V2 with prominent R-waves on 12-lead

c.        Acute inferior MI on 12-lead

 

2.        Leads V8, V9, V4R

 

Manitoba Message

1.        Prevalence of isolated posterior STEMI in Manitoba is not known

2.        Compliance of 15-lead utilization as per guidelines above is not known

3.        Delays in posterior MI recognition and subsequent revascularization occur

a.        Clinical outcomes are not known

4.        DO THE 15-LEAD!

a.        It’s only 3 extra electrodes

 

Previous
Previous

Myocardial Infarction with Nonobstructive Coronary Arteries (MINOCA): Contemporary Insights for Clinicians

Next
Next

What is Spontaneous Coronary Artery Dissection?